Viêm nha chu là tình trạng nướu bị nhiễm trùng nghiêm trọng, làm cho các mô xung quanh răng bị tổn thương do thói quen vệ sinh răng miệng kém. Nếu không được điều trị kịp thời, viêm nha chu có thể khiến răng bị lung lay hoặc gây mất răng. Cùng tìm hiểu chi tiết trong bài viết dưới đây.
Bệnh viêm nha chu là gì?
Bệnh viêm nha chu (hay còn gọi là Periodontal disease) do các vi khuẩn bám trên bề mặt răng và các túi nướu gây ra tình trạng nhiễm trùng quanh chân răng.
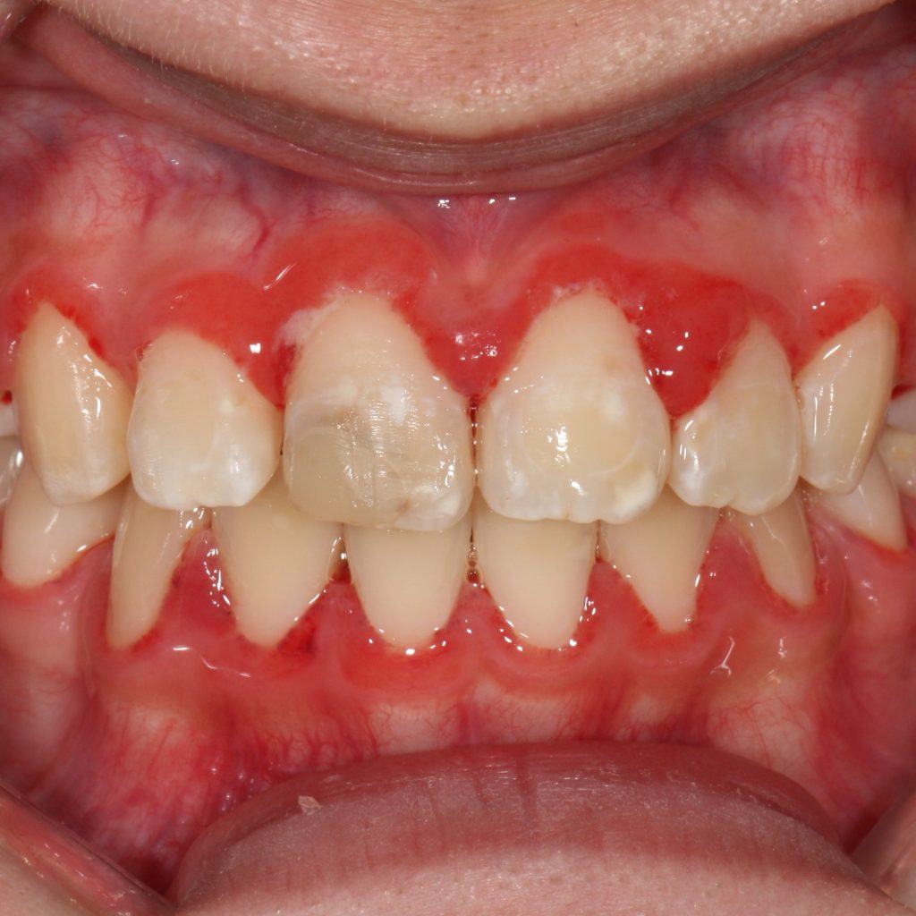
Khi mô nướu bị viêm, vi khuẩn có thể xâm nhập làm suy giảm hệ thống miễn dịch và hình thành các túi nha chu dẫn đến tình trạng tụt nướu và lộ chân răng. Nếu nhiễm trùng tiến triển nhanh và ngày càng lan rộng sẽ khiến cho xương và mô nướu sẽ bị tổn thương, răng có nguy cơ lung lay và thậm chí rụng hoàn toàn nếu không được điều trị kịp thời.

Bệnh viêm nha chu có thể gây hư hỏng và dẫn đến mất răng
Bệnh viêm nha chu khá phổ biến, thường gặp ở người trung niên và người cao tuổi. Đây là nguyên nhân chính gây mất răng ở người lớn. Bệnh thường tiến triển âm thầm vì vậy nhiều người thường bỏ qua và chỉ phát hiện khi tình trạng đã trở nên nghiêm trọng.
Nguyên nhân dẫn đến viêm nha chu
Viêm nha chu có thể do nhiều nguyên nhân khác nhau nhưng vi khuẩn ẩn nấp trong các mảng bám trên răng là nguyên nhân chính dẫn đến bệnh này. Các nguyên nhân dẫn đến sự hình thành mảng bám trên răng bao gồm:
- Tích tụ mảng bám: Mảng bám vi khuẩn hình thành từ thức ăn và nước bọt, nếu không được làm sạch sẽ cứng lại thành cao răng, gây viêm nướu.

Các mảng bám tích tụ lâu ngày không được làm sạch sẽ dễ dẫn đến viêm nha chu
- Vệ sinh răng miệng kém: Không có thói quen vệ sinh răng miệng, chải răng không đúng cách khiến mảng bám không được loại bỏ hoàn toàn. Theo thời gian dẫn đến hình thành cao răng bám chặt vào viền nướu.
- Hút thuốc: Người hút thuốc có nguy cơ cao hơn mắc bệnh viêm nha chu do ảnh hưởng tiêu cực đến nướu và khả năng hồi phục
- Chế độ ăn uống không lành mạnh: Chế độ ăn uống tiêu thụ quá nhiều thực phẩm chứa đường và tinh bột khiến cho sức khỏe của nướu lợi bị giảm sút.
- Không điều trị triệt để viêm nướu, tạo điều kiện cho vi khuẩn phát triển và xâm nhập sâu vào các túi nha chu giữa nướu và răng.
Ngoài ra các yếu tố về di truyền hoặc người đang mắc các bệnh về tiểu đường, tim mạch, stress hoặc mất ngủ cũng như các rối loạn miễn dịch có thể làm tăng nguy cơ mắc bệnh viêm nha chu.

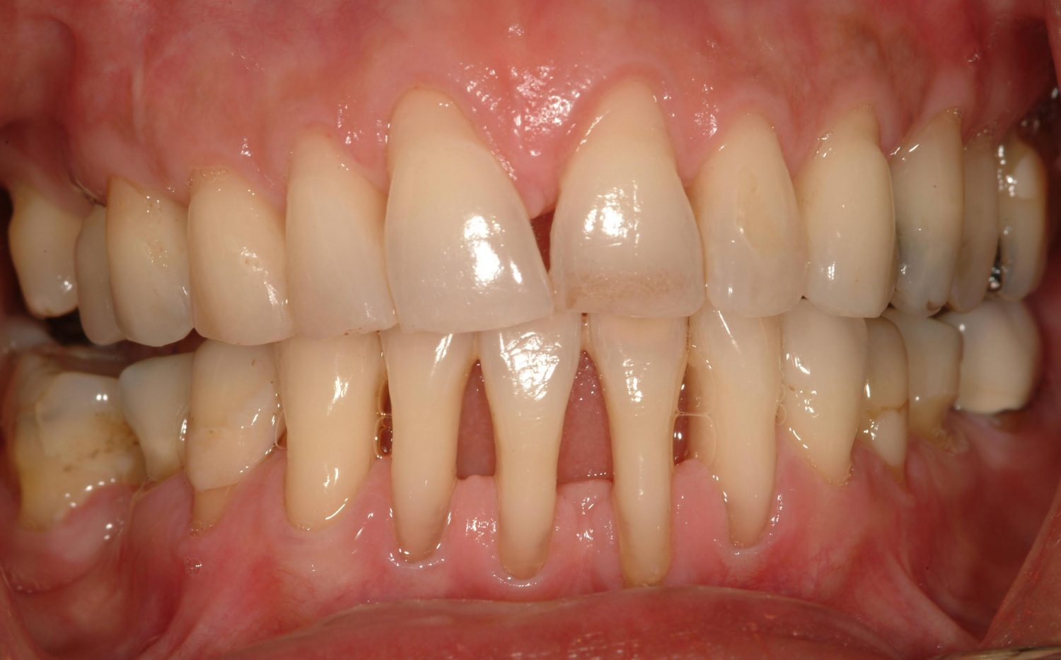
Răng bị tụt nướu do viêm nha chu không được điều trị triệt để
Việc nhận diện và xác định được các nguyên nhân này sẽ giúp cho quá trình điều trị nha chu hoặc ngăn ngừa từ sớm đạt hiệu quả cao hơn.
Triệu chứng và dấu hiệu của bệnh viêm nha chu
Bệnh nha chu thường sẽ phát triển qua 2 giai đoạn, ban đầu là viêm lợi và dẫn đến viêm túi nha chu, có thể dễ dàng nhận biết qua một số biểu hiện dưới đây:
- Sưng nướu lợi
- Chảy máu khi đánh răng
- Hôi miệng kéo dài
- Mảng bám răng và cao răng bám trên bề mặt răng, nhất là vùng cổ răng.
- Chảy mủ hoặc dịch khi ấn nhẹ vào lợi
- Răng lung lay, lệch vị trí, gây đau khi ăn nhai.
Ảnh hưởng của bệnh viêm nha chu
Viêm nha chu là một trong những bệnh lý răng miệng ảnh hưởng nghiêm trọng đến sức khỏe răng miệng của người bệnh. Một số những ảnh hưởng do viêm nha chu gây nên có thể kể ra như:
- Hôi miệng: Đây là một trong những triệu chứng phổ biến khiến bệnh nhân cảm thấy thiếu tự tin khi giao tiếp.
- Đau nhức và khó chịu: Người bị viêm nha chu thường cảm thấy đau nhức, đặc biệt là khi tiếp xúc với thực phẩm nóng hoặc lạnh, khiến răng trở nên nhạy cảm hơn bình thường.
- Mất khẩu vị: Viêm nha chu có thể gây khó khăn trong việc ăn uống, làm giảm cảm giác thèm ăn và ảnh hưởng đến chức năng tiêu hóa, có thể dẫn đến các vấn đề về dạ dày.
- Răng lung lay: Trong trường hợp viêm nha chu tiến triển nặng, chân răng có thể bị lung lay và có nguy cơ cao bị mất răng nếu không được điều trị kịp thời.
Ngoài ra, khi bệnh viêm nha chu tiến triển, các vi khuẩn bám vào răng sẽ thẩm thấu vào máu và gây ra những vấn đề sức khỏe nghiêm trọng khác như: bệnh về tim mạch, hô hấp và đái tháo đường. Cùng với đó, những tác động của bệnh nha chu sẽ khiến cho người bệnh kém tự tin, gây ảnh hưởng tâm lý và làm giảm chất lượng cuộc sống.

Bệnh viêm nha chu gây đau răng, làm giảm chất lượng cuộc sống
Phương pháp phòng ngừa bệnh viêm nha chu
Viêm nha chu phát triển âm thầm qua thời gian và có nhiều dấu hiệu dễ nhận biết. Do đó, mọi người đều có thể phòng ngừa bệnh này từ sớm. Các biện pháp để phòng ngừa viêm nha chu sẽ giúp bạn có được hàm răng chắc khỏe cùng một sức khỏe răng miệng hoàn hảo:
Chăm sóc sức khỏe răng miệng đúng cách: Đánh răng thường xuyên và làm sạch các mảng bám chứa vi khuẩn.
Thăm khám răng định kỳ: Nên kiểm tra sức khỏe răng miệng định kỳ ít nhất 6 tháng một lần để kịp thời phát hiện các vấn đề ngay từ sớm.
Xây dựng chế độ ăn uống lành mạnh: Ưu tiên các thực phẩm nhiều rau xanh, vitamin, hạn chế các thức ăn có chứa đường cao giúp có một sức khỏe tốt, ngừa bệnh nha chu. Đồng thời cung cấp đủ nước cho cơ thể để duy trì độ ẩm cho miệng, hỗ trợ loại bỏ các vi khuẩn.
Viêm nha chu là một căn bệnh có thể phòng ngừa nếu người bệnh duy trì lối sống lành mạnh và thực hiện thói quen chăm sóc răng miệng tốt. Nếu nhận thấy bất kỳ dấu hiệu bất thường nào liên quan đến viêm nướu lợi có thể dẫn đến viêm nha chu, hãy nhanh chóng đến bệnh viện hoặc các phòng khám nha khoa uy tín để được điều trị kịp thời.

Phòng khám nha khoa Dr.SmileCare tại Quận Gò Vấp
Để tìm hiểu rõ hơn, bạn có thể liên hệ với Nha Khoa Dr.SmileCare theo thông tin bên dưới để được hỗ trợ và tư vấn chi tiết.
- Hotline 093.277.4018
- Website: https://nhakhoadrsmilecare.com/
- Địa chỉ phòng khám: 1049 Phan Văn Trị, Phường 10, Gò Vấp, TP.HCM (đối diện Highland Coffee).
BỌC RĂNG SỨ CÓ ĐAU KHÔNG? NÊN LÀM GÌ NẾU BỊ ĐAU SAU KHI BỌC RĂNG SỨ
LÀM RĂNG SỨ CÓ CẦN KIÊNG CÁC THỨC ĂN, NƯỚC UỐNG CÓ MÀU KHÔNG? CÁCH CHĂM SÓC SAU KHI LÀM RĂNG SỨ
CHÍNH SÁCH BẢO HÀNH RĂNG SỨ TRÊN IMPLANT TẠI NHA KHOA BÁC SĨ DUY