0932 774 018

Thạc Sĩ, Bác Sĩ
CAO HỮU DUY
Chuyên gia Implant & Sứ thẩm mỹ
◆ Tốt nghiệp Thạc sĩ chuyên khoa Implant tại Đại học Loma Linda (USA).
◆ Chứng chỉ cấy ghép Implant MALO CLINIC NUFIELD DENTAL All-on-4 Treatment Concept (Singapore).
◆ Bác sĩ chỉnh nha toàn cầu Invisalign 2021
◆ Cố vấn chuyên môn chương trình đào tạo các bác sĩ tại các phòng khám lớn.
◆ Giảng viên các trung tâm chuyên đào tạo về nha khoa tại Hà Nội, Hồ Chí Minh.
◆ Thành viên Hiệp hội Nha khoa châu Âu ESCD.
Tin tức
IMPLANT KHÔNG RẠCH LỢI: BƯỚC TIẾN MỚI TRONG NHA KHOA, HIỆU QUẢ CAO, AN TOÀN CHO KHÁCH HÀNG
Cấy ghép Implant không rạch lợi hiện nay không chỉ mang lại hiệu quả cao...
DÁN SỨ SIÊU MỎNG KHÔNG MÀI RĂNG: BẢO TỒN TỐI ĐA RĂNG GỐC, KHẮC PHỤC HIỆU QUẢ CÁC VẤN ĐỀ VỀ RĂNG
Hiện nay, dán sứ siêu mỏng không mài răng là giải pháp hiệu quả trong...
TẨY TRẮNG RĂNG CÓ AN TOÀN KHÔNG? BAO LÂU THÌ TẨY TRẮNG RĂNG?
Tẩy trắng răng là phương pháp nhằm cải thiện màu sắc của răng, giúp mang...
RĂNG DÁN SỨ: CÓ CẦN KIÊNG THỰC PHẨM CÓ MÀU KHÔNG? CÁCH CHĂM SÓC RĂNG SAU KHI DÁN SỨ ĐỂ GIỮ MÀU BỀN LÂU
Phương pháp veneer sứ (dán sứ) là công nghệ nha khoa hiện đại thường áp...
MÒN CỔ CHÂN RĂNG: NHỮNG DẤU HIỆU BỆNH LÝ VÀ CÁCH PHÒNG NGỪA, ĐIỀU TRỊ HIỆU QUẢ NHẤT
Mòn cổ chân răng khiến răng bị mài mòn và dẫn đến nhiều bệnh lý...
Những lưu ý khi chọn nha khoa nhổ răng khôn. Quy trình nhổ răng khôn tại Dr.SmileCare
Răng khôn là một phần trong bộ răng của chúng ta, tuy nhiên vì nhiều...
NHỮNG DẤU HIỆU CẢNH BÁO CẦN THAY MỚI RĂNG SỨ
Răng sứ được chế tạo từ các vật liệu sứ cao cấp, có khả năng...
RĂNG CHẾT TỦY LÀ GÌ? KHI NÀO CẦN ĐIỀU TRỊ RĂNG BỊ CHẾT TỦY?
Răng chết tủy là gì? Khi răng bị chết tủy gây nguy hiểm như thế...
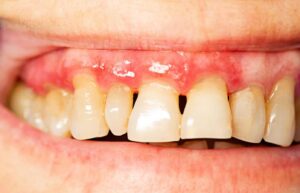
BỆNH VIÊM NHA CHU: NGUYÊN NHÂN, DẤU HIỆU NHẬN BIẾT VÀ CÁCH ĐIỀU TRỊ HIỆU QUẢ
Viêm nha chu là tình trạng nướu bị nhiễm trùng nghiêm trọng, làm cho các...
KÍCH THƯỚC TRỤ CÓ ẢNH HƯỞNG NHƯ THẾ NÀO ĐẾN VIỆC TRỒNG IMPLANT? LÀM SAO ĐỂ CHỌN LOẠI TRỤ PHÙ HỢP?
Đối với cấy ghép Implant, kích thước của trụ Implant có vai trò quan trọng...